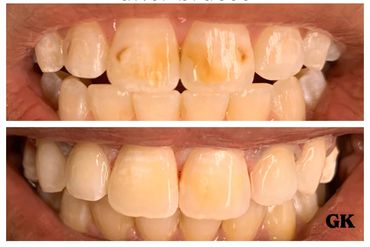
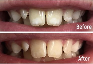
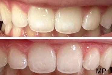
White spot lesions on teeth are chalky white or opaque areas on the tooth surface, indicating a loss of minerals (demineralization). These lesions can be present when the tooth erupts due to issues during the development stage, an early sign of tooth decay or can develop during or after orthodontic treatment like braces.
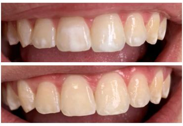
Treatment options range from conservative approaches like fluoride varnish to more advanced techniques like resin infiltration.
Braces are meant to reveal a straighter, more confident smile. But many patients find unexpected white spots on teeth after braces come off. These chalky patches are a common side effect of orthodontic treatment, and they can leave your teeth looking uneven or stained.
At Todt Hill Pediatric Dentistry, we offer advanced, minimally invasive white spot lesions treatment to help restore your enamel and give your smile the smooth, natural finish it deserves.
Our caring team is here to support your child's journey to optimal oral health. Schedule an appointment with Dr. Merlino today!
White spot lesions on teeth are early signs of enamel demineralization—often caused by plaque buildup around braces, but can also be natural and occur during the development stage. These lesions appear as dull, opaque patches that can make teeth look blotchy or stained. Patients often describe them as:
These spots are extremely common during orthodontic treatment. In fact, many patients ask how common white spots after braces are. The answer: more than 50% of people with braces develop some form of white spot lesion—especially if brushing is difficult during treatment.


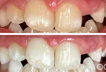
The good news is: not necessarily. In many cases, white spot lesions can be reversed or significantly improved—especially if caught early and treated properly.
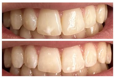
At Todt Hill Pediatric Dentistry, we offer several proven options for white spot lesions teeth treatment, depending on the severity of the lesion and the overall condition of your enamel.
We specialize in safe, effective methods to remove white spots on teeth from braces without drills, needles, or discomfort. Our treatments include:
This advanced, no-drill option gently penetrates the lesion with a clear resin that blends the white spot into the natural tooth structure—leaving teeth smooth and uniform in color.
Professional-strength fluoride helps rebuild weakened enamel and reverse early-stage lesions over time.
A gentle polishing technique that can reduce or eliminate mild white spot lesions, especially if caught soon after braces are removed.
These treatments are ideal for both teens and adults, and are personalized based on the location, depth, and severity of the lesions.







Dr. Merlino’s pediatric dental team understands how stressful dental treatments can be for children and parents. That’s why we provide:

Wondering how to remove white spots on teeth from braces? Looking for trusted white spot lesions treatment near you? At Todt Hill Pediatric Dentistry, we combine cosmetic expertise with gentle care to deliver the results you deserve.
Call today to schedule your consultation—and take the final step in completing your smile transformation.
We had a great experience with Dr Merlino, particularly the laser she used for fillings! Amazing!
Dr.Merlino was great !! Along with her assistant... They made my 3 year old feel comfortable in the dentist chair... Thank.you Dr. Merlino
We had a wonderful experience here. I brought my Autistic son here and Dr.Merlino was excellent, compassionate and very thorough. She made him feel very comfortable and treated him with the utmost kindness and respect. The staff was welcoming and friendly. I would highly recommend!
My kids never complain about going to the dentist!! Dr, Merlino and her staff are all lovely people and it’s clear that they love kids!! This morning Deb and Dolores totally put them both at ease during their cleanings.Monica has also taken great care of them on previous visits. These are all extremely professional and caring ladies. And Dr. Merlino herself is the best!!
My 2 year old chipped her tooth significantly and we were advised by our pediatrician to see Dr. Merlino. The doctor saw my daughter immediately as a first time emergency patient. The office staff was so kind and helpful, the office was neat and kid friendly. The doctor and doctor’s assistants were incredibly careful and thorough with my daughters care. I highly recommend this dentist!!
See More Reviews Here
Whether it’s a routine check-up or a dental emergency, we’re here to keep your child’s smile healthy and bright. Call us today to schedule an appointment or get immediate assistance for your child or special needs loved one!
We are happy to answer any questions you have about making an appointment or your insurance coverage.
Visit our Google Business Profile Here
Copyright © 2024 Phyllis G. Merlino, DDS: Todt Hill Pediatric Dentistry - All Rights Reserved.
We use cookies to analyze website traffic and optimize your website experience. By accepting our use of cookies, your data will be aggregated with all other user data.