At Todt Hill Pediatric Dentistry, our specialized gingivectomy procedure, using a state of the art Solea laser helps that sculpts and contours the gums for a more harmonious, aesthetically pleasing smile. This procedure is ideal for patients who have undergone braces or other orthodontic treatments and can see an "overgrowth" of gum tissue. It's the final touch-up to ensure balanced gum lines and optimal oral health, and can also aid in the eruption of teeth.
Our team is ready to help your child achieve optimal oral health. Contact us today to schedule an appointment with Dr. Merlino.

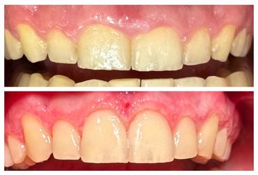
After completing orthodontic treatment, achieving the perfect smile sometimes requires refining not just the teeth but also the surrounding gum tissue. Post-orthodontic gingivectomy is a minimally invasive procedure designed to remove excess gum tissue and reshape the gum line. By carefully sculpting the gums, we create a better framework for your teeth, improving both appearance and overall gum health. This procedure not only enhances the beauty of your smile but also facilitates easier cleaning and long-term periodontal health. Whether it's to correct a "gummy smile" or simply to achieve a more balanced look, our expert team is here to help you achieve the smile you deserve.
Experience the transformative benefits of a finely contoured gum line, enhancing both function and appearance after orthodontic treatment.







Dr. Merlino and our dedicated team at Todt Hill Pediatric Dentistry are committed to delivering exceptional care. With extensive expertise in post orthodontic gingivectomy, we ensure every procedure is performed with precision and compassion, helping you achieve a refined and confident smile.

Love Dr Merlino and her staff. They are always so supportive and fun!!! Debbie made us laugh the entire time. They take the time to make you your child feel comfortable and at ease!
My two boys ages 5 and 7 LOVE going to the dentist. Deb is such a wonderful assistant. She made them so comfortable from the start. Everything was explained so well to the kids. They had a menu of flavors to choose their toothpaste flavor. Camille gave a great cleaning! She was so friendly and explained everything to me and guided me in how to help my boys improve their dental cares. Dr. Merlino is always so personable. The kids knew her from when she visited their school. Wonderful experience for kids and parents highly recommend!!
We had a wonderful experience here. I brought my Autistic son here and Dr.Merlino was excellent, compassionate and very thorough. She made him feel very comfortable and treated him with the utmost kindness and respect. The staff was welcoming and friendly. I would highly recommend!
My kids never complain about going to the dentist!! Dr, Merlino and her staff are all lovely people and it’s clear that they love kids!! This morning Deb and Dolores totally put them both at ease during their cleanings.Monica has also taken great care of them on previous visits. These are all extremely professional and caring ladies. And Dr. Merlino herself is the best!!
My 2 year old chipped her tooth significantly and we were advised by our pediatrician to see Dr. Merlino. The doctor saw my daughter immediately as a first time emergency patient. The office staff was so kind and helpful, the office was neat and kid friendly. The doctor and doctor’s assistants were incredibly careful and thorough with my daughters care. I highly recommend this dentist!!
Whether it’s an emergency or a routine check-up, we’re here to help your child maintain a healthy, beautiful smile. Call us today to schedule an appointment or for immediate assistance with a dental emergency.

Yes. Even children as young as 5–6 can develop gum disease, which can damage bone and lead to tooth loss if untreated.
Swollen or bleeding gums may signal periodontal disease. Left untreated, it can destroy bone and teeth. Regular checkups are essential.
An aggressive gum infection in adolescents that can lead to permanent tooth loss if untreated. It requires professional care.
A gum infection that can destroy supporting bone and teeth if untreated. Early diagnosis allows treatment with cleaning and flossing.
We are happy to answer any questions you have about making an appointment or your insurance coverage.
Visit our Google Business Profile Here
Copyright © 2024 Phyllis G. Merlino, DDS: Todt Hill Pediatric Dentistry - All Rights Reserved.
We use cookies to analyze website traffic and optimize your website experience. By accepting our use of cookies, your data will be aggregated with all other user data.